赞
以前有篇中学课文鲁迅的《呐喊自序》。文章里有这么一句话:“中医不过是一种有意的或无意的骗子”。因为鲁迅坚信是中医治死了自己的老爹。所以他决定去日本学西医,因为“日本维新是大半发端于西方医学”。在日本学医学了一半,他又觉得国民的愚昧才是最要命的东西,于是就弃医从文。
以上这些事情老百姓基本上都知道,但我想问的是,事实真的如鲁迅所说吗?当事人对一件事的解读自然会有他的主观偏向,后人经过多方对比才能还原事情的真相,那就让我们来看看到底是怎么一回事。
鲁迅原名周树人,他还有两个弟弟,分别是周作人和周建人,鲁迅的爹名叫周伯宜,他的妈叫鲁氏。让我们看一下他们分别活了多久:
周伯宜-36岁;
鲁氏-85岁;
鲁迅-55岁;
周作人-82岁;
周建人-96岁。
我们发现,除了鲁迅和他爹之外,其他家庭成员的寿命都远超当时的平均寿命,三弟周建人更是活了96岁,周作人如果不是因为1966年中国的那场运动,其实也不会那么早死,他在晚年多次尝试自杀。
周家算得上是一个长寿家庭了,但是却不包括周伯宜和鲁迅,这是为啥?
我们先来看周伯宜。周伯宜是个官二代,他爹周介孚是进士,当过内阁中书,后来因为科场行贿案被揭发,官府要抓他,可他竟然逃跑了,官府抓不到周介孚,就抓他儿子周伯宜来顶罪。周家几乎掏出全部家底来行贿官府,总算是把周伯宜给捞出来了,但从此之后家道中落,自己还被革去了秀才身份。
周伯宜被捞出来之后,郁郁不得志,然后抽起了鸦片烟,还染上了酗酒的恶习。又吸毒又喝酒又抑郁,这对身体的打击是可想而知的。两位中医劝他少喝点酒,少抽大烟,但是不起作用。
从周伯宜发病到去世,总共3年时间,鲁迅文章中写了老爹的症状:水肿、呕血、疼痛、牙龈出血。这是典型的肝腹水与肝硬化症状。要知道,这种病即使到现在都没有什么根治的办法,只能想办法拖慢病程,但前提是你要戒酒戒毒。周伯宜的作死行为,就算是华佗扁鹊再世,也是不可能治好的。
周伯宜靠着中医给他续了两年的命,而鲁迅还要把锅让中医来背,在我看来,这就是典型的医闹行为。
说完了周伯宜,再说鲁迅。
鲁迅不吸毒,也不酗酒,但鲁迅抽烟,而且烟瘾极重。从22岁去日本留学开始学抽烟,一直抽到55岁死去,烟龄长达33年,他平均每天要抽50支香烟,直到去世那一年才减少为15支烟,这样算一算的话,鲁迅一生大概抽的是60万支烟,这是一个惊人的数字。

鲁迅讨厌中医,相信西医,由于他有日本留学经历,所以更喜欢日本医生。给他看病的是日本人须藤,这是他朋友内山完造介绍的。
我们知道抽烟严重伤肺,而鲁迅还有肺结核(痨病),这让他的身体非常虚弱。鲁迅的体重长期不满100斤,临死前体重只有76斤。那么鲁迅最后是怎么死的呢?竟然是一起医疗事故。
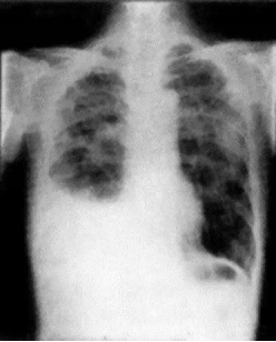
鲁迅去世时给出的说法是死于肺结核,但其实这并不是直接死因。幸好当时还留下来一张胸片。

在1984年,上海市第一结核病防治院邀请23名著名肺科、放射科专家、教授,共同研究这件遗物,并作出了”鲁迅不是直接死于肺结核病,而是死于自发性气胸”的新结论,终于揭开了长达48年的鲁迅死因之谜。
专家认为鲁迅的病情属于中等程度,不是死亡的直接原因,直接原因是左侧肺大疱破裂,使气体进入胸膜引起自发性气胸,压迫肺和心脏死亡。同时认为,这种病在当时并不是不治之症,如果及时治疗,是完全可以治好的,遗憾的是,庸医须藤诊断失误。
庸医须藤自知有罪,他是怎么掩盖的呢?他伪造了一份《鲁迅病历》,为什么说这是伪造的?因为病历上的记载和鲁迅的日记对不上号。所以民间又有一种说法,说须藤是日本间谍,目的就是搞死鲁迅。否则无法解释这个日本医生怎么会犯这种低级错误。
须藤当时在自发性气胸的病理、病因、诊断、治疗上具备挽救鲁迅生命的客观条件,然而他在主观诊断上出了偏差。不管须藤是有意杀人还是无意杀人,总之这是一起医疗事故,鲁迅就这样被他最信任的日本西医搞死了。
你有没有觉得这件事很可笑?鲁迅觉得老爹被中医搞死了,但其实中医不治他也是一样死,因为吸毒酗酒都肝硬化肝腹水了。而他自己遭遇日本庸医,被治死了。当然了,按照鲁迅当时的身体状况,他也活不了太久。如果按照他写文章的套路,肯定会写自己被西医坑死了。
说完了鲁迅,再来说他两个弟弟,周作人和周建人,这两人不吸毒,不抽烟,不酗酒,还不熬夜,早睡早起身体好。
写到这里,说点正经话。
说某人死于中医或者死于西医的说法都是不对的,因为绝大多数情况下,都是你自己不爱惜身体,肆意挥霍自己的生命,等到要医生来救你命的时候,早就已经来不及了。如果周伯宜不抽大烟不酗酒,我想他也不会肝硬化。如果鲁迅不抽那几十万根香烟,他也不会气胸。
你自己有没有好好养生,起码占了80%的作用,剩下20%才是医疗的作用。同样是周家人,寿命相差悬殊,这不能用遗传来解释了,完全是自己生活方式导致的。
至于鲁迅为什么会说“中医不过是一种有意的或无意的骗子”,这反映了当时中国文人的一种思潮,由于中国连续不断的被外敌痛打,中国文人产生了一种奇怪的心理,他们认为祖宗留下来的一切都不如人,全都是糟粕,全都要废除。
不仅要废除中医,他们还想要废除汉字,还煞有介事的说:要想拯救中国,就必须扫除旧文化;而要扫除旧文化,就必须先废掉汉字。要用拉丁字母来改造中文,使之拼音化。鲁迅说过一句话:汉字不灭,中国必亡。现在回头来看,汉字并没有灭,中国也没有亡。
中国的文人对中国的进步起到了促进作用,但有时候也在拖后腿。你可以把文人的思想也看作是一种商品,现在国产商品已经占领了全球的市场,但国产文人生产的思想根本卖不出去,不仅如此,国产文人热衷于充当洋人思想的买办,成天忽悠老百姓外国如何如何好,让老百姓对国外产生了不切实际的幻想。
国产文人真正应该做的是,在全球争夺话语权,把中国的思想推销到国外去。话语权这个东西非常重要,它可以给一件商品估值,比如为什么奢侈品品牌大多在欧洲?为什么国内就很少奢侈品品牌?因为国人觉得巴黎品牌就是比中国品牌高贵,因为别人有话语权,可以定义什么是奢侈品。
可是中国的那些垃圾文人,一直在搞逆向种族主义,有个国产文人就说,中国应该被殖民300年,因为西方是先进的、文明的,中国是落后的、野蛮的,因此,别人来殖民我们实际上是驯化野蛮人,拽着我们奔向先进的星光大道。西方世界对他的言论很满意,给他发了炸药奖。
照我看,中国最落后的恰恰就是我们的文人,这些人甚至都没想到自己可以站起来,因为他们跪得太久了。
赞
赞




